- Lifestyle
- Health & Families
Researchers say their AI-powered findings may help to fight Alzheimer’s disease, the most common form of dementia
Julia Mustoin New YorkMonday 24 November 2025 22:33 GMTComments
CloseBrain age and what it means for overall longevity
Sign up to our free Living Well email for advice on living a happier, healthier and longer life
Live your life healthier and happier with our free weekly Living Well newsletter
Live your life healthier and happier with our free weekly Living Well newsletter
Email*SIGN UPI would like to be emailed about offers, events and updates from The Independent. Read our Privacy notice
Staying in shape can help more than make you look good - it can keep your brain young too.
Doctors at the Radiological Society of North America announced a the findings of a nw study Monday that determined having less hidden belly fat and more muscle may help to keep your brain younger The findings could help us treat Alzheimer’s disease, the most common form of dementia affecting more than 7 million Americans.
“Healthier bodies with more muscle mass and less hidden belly fat are more likely to have healthier, youthful brains,” Dr. Cyrus Raji, associate professor of radiology and neurology at Washington University School of Medicine in St. Louis, Missouri, said in a statement.
“Better brain health, in turn, lowers the risk for future brain diseases, such as Alzheimer’s.”
Researchers had previously tied visceral fat to brain health, including developing Alzheimer’s disease. Visceral fat is fat stored within the abdomen and nearby organs.
open image in galleryBuilding muscle mass and losing weight could help protect your brain from cognitive decline, experts say. (Getty Images/iStock)The body-brain connection
Raji said their analysis showed how closely the health of the body and brain are linked.
“This research has validated widely held hypotheses about the association between body composition biomarkers and brain health and provides a foundation for those biomarkers to be included in future trials of various metabolic interventions and treatments,” he said.
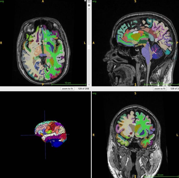
Looking at the health of 1,164 healthy men and women using whole-body MRI scans, the researchers were able to determine the fattiest parts of the body. Next, they used an AI algorithm to determine the participants’ ratio of muscle to fat, as well as their subsequent brain age.
Participants with higher ratios of visceral fat to muscle had higher brain ages, while the same was not seen for those with more subcutaneous fat: a layer of fat just below the skin’s surface.
Although visceral fat is not the only factor that affects brain aging.
While the human brain ages naturally as we do – affecting memory and cognitive ability – harmful inflammation, emotional trauma and high blood pressure have all been shown to accelerate the process.
open image in galleryThe doctors took MRI scans, feeding it into an AI algorithm to help determine patients’ brain ages (Cyrus Raji, M.D., Ph.D., and RSNA)More reps, fewer years
Going forward, people can work to keep their brains younger by losing visceral fat and building muscle - and can use the gym to help.
When you work out, your muscles release chemical signals that are believed to positively influence your brain, according to researchers at the University of Illinois Urbana-Champaign.
The new findings also build on decades of research showing that having less fat and more muscle can protect people from heart failure and diabetes.
While many are able to shed dozens of pounds of fat by taking weight-loss drugs, a common side effect is the loss of muscle mass. But, that might not be the case with recent versions and prior studies have shown that amylin weight-loss drugs may lead to a lower loss of lean muscle mass than popular GLP-1 class drugs such as Ozempic.
Raji said their findings could help inform the future of the drugs.
The research is being presented next week at the annual meeting of the Radiological Society of North America.
More about
Brain healthmuscleFatBrainagingJoin our commenting forum
Join thought-provoking conversations, follow other Independent readers and see their replies
Comments